| 일 | 월 | 화 | 수 | 목 | 금 | 토 |
|---|---|---|---|---|---|---|
| 1 | 2 | 3 | 4 | |||
| 5 | 6 | 7 | 8 | 9 | 10 | 11 |
| 12 | 13 | 14 | 15 | 16 | 17 | 18 |
| 19 | 20 | 21 | 22 | 23 | 24 | 25 |
| 26 | 27 | 28 | 29 | 30 |
Tags
- 온라인RNtoBSN
- 실업급여
- BSN
- 니코스
- 과제-시험
- 미국랜딩준비
- 소설
- 1학기
- 교정1년차
- KNOU
- 교정일기
- 파워체인
- RNtoBSN준비하기
- 간호사
- 공간닫기ing
- 20세기문학
- 교정밴드
- 공부
- 스태핑에이전시
- 미국간호사
- 고전문학
- 방통대
- 부정교합
- 대학생활
- RNtoBSN
- 치아교정
- 교정1년반
- 교정고무줄
- 2학기
- 발치교정
Archives
- Today
- Total
반응형
| 일 | 월 | 화 | 수 | 목 | 금 | 토 |
|---|---|---|---|---|---|---|
| 1 | 2 | 3 | 4 | |||
| 5 | 6 | 7 | 8 | 9 | 10 | 11 |
| 12 | 13 | 14 | 15 | 16 | 17 | 18 |
| 19 | 20 | 21 | 22 | 23 | 24 | 25 |
| 26 | 27 | 28 | 29 | 30 |
Tags
- 온라인RNtoBSN
- 실업급여
- BSN
- 니코스
- 과제-시험
- 미국랜딩준비
- 소설
- 1학기
- 교정1년차
- KNOU
- 교정일기
- 파워체인
- RNtoBSN준비하기
- 간호사
- 공간닫기ing
- 20세기문학
- 교정밴드
- 공부
- 스태핑에이전시
- 미국간호사
- 고전문학
- 방통대
- 부정교합
- 대학생활
- RNtoBSN
- 치아교정
- 교정1년반
- 교정고무줄
- 2학기
- 발치교정
Archives
- Today
- Total
Con Spirito
94주차) 260308 - 260314 본문
반응형
< 94주차 >



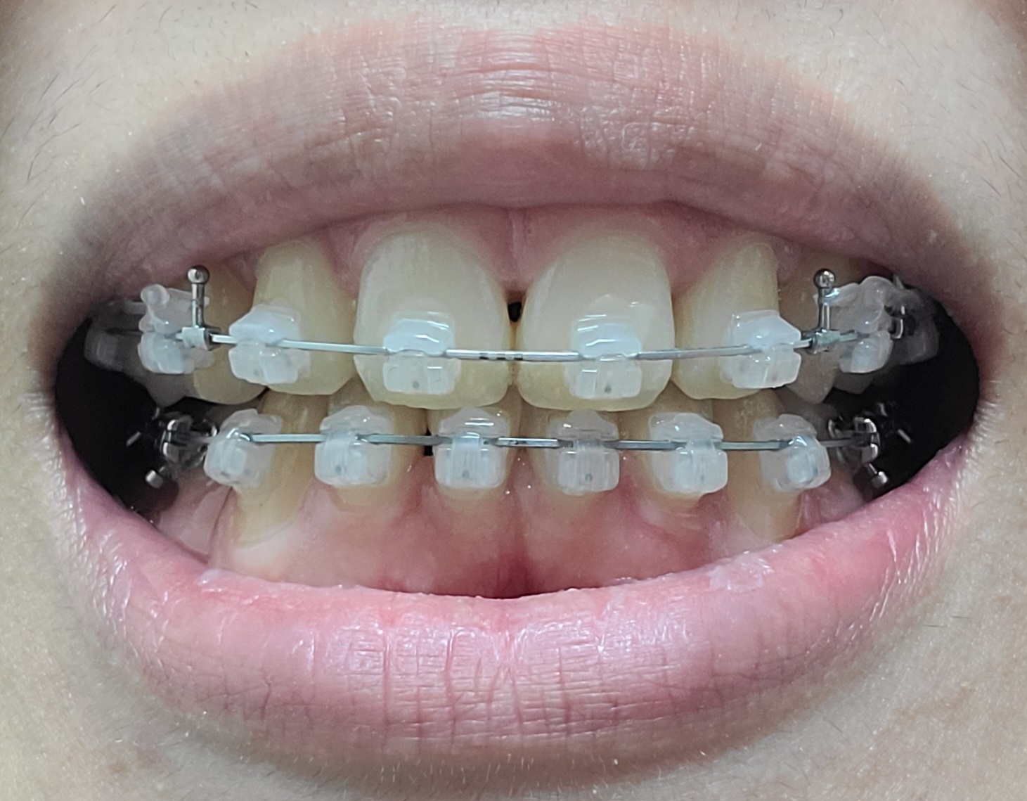
3월8일 오후에 오른쪽 위 어금니 쪽으로
와이어가 볼을 찌르면서 무언가가 덜렁거리는게 느껴졌다.
그날 저녁은 먹지 않고,
다음날 치과에 전화해 진료를 앞당겼다.
(어차피 목요일날 갈 예정이었던 것)
아니나 다를까.
장치가 떨어졌다며 재부착했다.
다음에 떨어지면 반지 끼운댄다ㅠ
원인을 추정하건대
요 며칠 계속 찾았던 탕수육인 것 같다.
딱딱한거 먹지 말아야지ㅠ
아무튼 후크라고 잇몸에 뭐 하나 박았다.

스크류 이번에 빼달라고 하고 싶었는데,
후크 걸면서 스크류도 써먹어서
입꾹닫
반응형
'[딴짓하기] > -- 교정일기' 카테고리의 다른 글
| 93주차) 260301 - 260307 (0) | 2026.03.08 |
|---|---|
| 92주차) 260222 - 260228 (0) | 2026.03.01 |
| 91주차) 260215 - 260221 (0) | 2026.02.22 |
| 90주차) 260208 - 260214 (0) | 2026.02.15 |
| 89주차) 260201 - 260207 (0) | 2026.02.08 |
Comments