| 일 | 월 | 화 | 수 | 목 | 금 | 토 |
|---|---|---|---|---|---|---|
| 1 | 2 | 3 | 4 | |||
| 5 | 6 | 7 | 8 | 9 | 10 | 11 |
| 12 | 13 | 14 | 15 | 16 | 17 | 18 |
| 19 | 20 | 21 | 22 | 23 | 24 | 25 |
| 26 | 27 | 28 | 29 | 30 |
Tags
- 교정밴드
- 공간닫기ing
- 2학기
- RNtoBSN
- 미국간호사
- 대학생활
- BSN
- 소설
- 미국랜딩준비
- 과제-시험
- 교정고무줄
- 온라인RNtoBSN
- 교정일기
- RNtoBSN준비하기
- 교정1년반
- 공부
- 니코스
- 1학기
- KNOU
- 고전문학
- 20세기문학
- 발치교정
- 방통대
- 파워체인
- 실업급여
- 간호사
- 교정1년차
- 스태핑에이전시
- 치아교정
- 부정교합
Archives
- Today
- Total
반응형
| 일 | 월 | 화 | 수 | 목 | 금 | 토 |
|---|---|---|---|---|---|---|
| 1 | 2 | 3 | 4 | |||
| 5 | 6 | 7 | 8 | 9 | 10 | 11 |
| 12 | 13 | 14 | 15 | 16 | 17 | 18 |
| 19 | 20 | 21 | 22 | 23 | 24 | 25 |
| 26 | 27 | 28 | 29 | 30 |
Tags
- 교정밴드
- 공간닫기ing
- 2학기
- RNtoBSN
- 미국간호사
- 대학생활
- BSN
- 소설
- 미국랜딩준비
- 과제-시험
- 교정고무줄
- 온라인RNtoBSN
- 교정일기
- RNtoBSN준비하기
- 교정1년반
- 공부
- 니코스
- 1학기
- KNOU
- 고전문학
- 20세기문학
- 발치교정
- 방통대
- 파워체인
- 실업급여
- 간호사
- 교정1년차
- 스태핑에이전시
- 치아교정
- 부정교합
Archives
- Today
- Total
Con Spirito
83주차) 251221 - 251227 본문
반응형
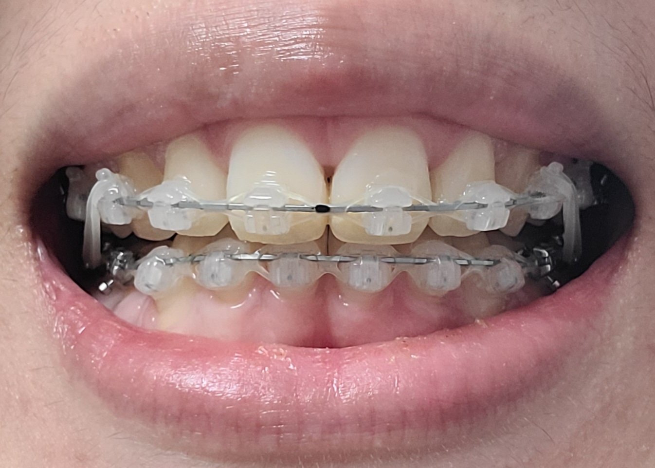
< 83주차 >



미묘하게 발치한 공간 틈이 느껴진다.
1mm 조금 안되게 남아있는 듯한?
자꾸 그 틈으로 시금치 같이 야채가 낀다.
그리고 왼쪽 상단의 와이어가
자꾸 볼 안쪽 살을 찌르길래
과거 당근에서 구한
치아 교정용 왁스를 꺼냈다.
나눔해주신 분 감사합니다.




쌀알만큼 동그랗게 굴려서 얹고
꾹꾹 눌러 고정시키면 내 볼은 보호 받는다ㅎㅎ
제발 교정 끝나기 전까지
왁스가 다 떨어지지 말아야 할텐데..
반응형
'[딴짓하기] > -- 교정일기' 카테고리의 다른 글
| 85주차) 260104 - 260110 (1) | 2026.01.18 |
|---|---|
| 84주차) 251228 - 260103 (0) | 2026.01.11 |
| 82주차) 251214 - 251220 (0) | 2025.12.28 |
| 81주차) 251207 - 251213 (0) | 2025.12.21 |
| 80주차) 251130 - 251206 (0) | 2025.12.14 |
Comments